
Implant Surgery 101
A simple & comprehensive course on basic implant procedures.
Been wanting to add Implant Surgery to your tool belt? But not sure where to begin? I feel your pain.
Here's the problem
❌ Instructors speak in complex jargon and show off crazy cases.
❌ They make implant surgery feel like rocket science!
❌ Plus, you don’t want to sit through hour long webinars!
Here's your secret weapon
✅ Step by Step Explanations of Each Procedure
✅ Easy to Refer Back to Walkthroughs
✅ Access to Content Forever
✅ 3-Month Access to Implant and Prosth Mentorship in Our Study Club Community
Inside the Implant Surgery 101 Course

➡️ Step-by-Step Surgical Technique Videos
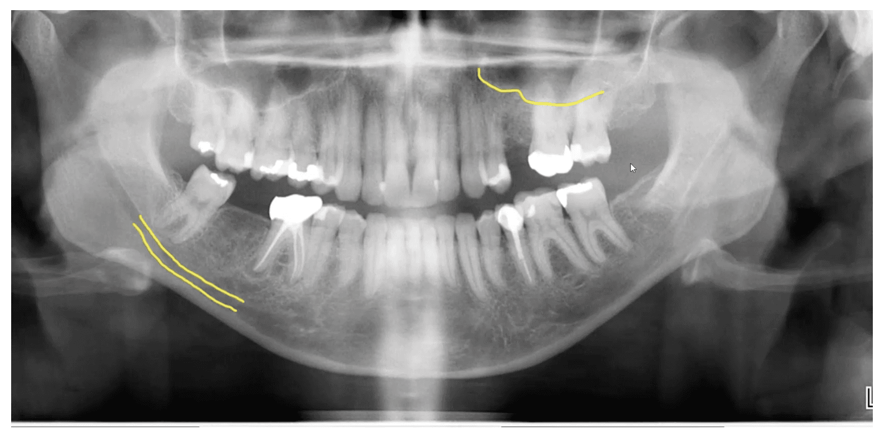
➡️ How to Plan on Pano and CBCT
➡️ Flap Designs for Dental Implants
➡️ Benchtop Demonstrations
➡️ The Essential Instruments
3-Month Mentorship Included

All Students get 3-month access to our dojo where we help answer any questions and assist with any cases! It is a study club that helps you hit the ground running!
What Our Students Are Saying

Course Curriculum
FAQ
How long do I have access to this course?
Other online courses are like 300+ hours. I don't have time for that. How long is this one?
Is this course fully online?
How does this course compare to an in-person course?
When does the course start and finish?
Can I access the course on my mobile device?
Can I get a refund?






